ENDODONCIA:
¿Cuándo es necesario realizar una endodoncia?
Todos los dientes tienen una cámara pulpar donde está el nervio del diente, pero cuando se afecta por una caries extensa o un traumatismo (entre otros motivos), va destruyendo progresivamente todas las estructuras hasta provocar su necrosis o muerte.
Signos y síntomas:
-Absceso o flemón en la encía o en la cara
-Cambio de color del diente
-Fracturas dentales extensas
-Sensibilidad con el frío y el calor o dolor agudo persistente que no calma con analgésicos
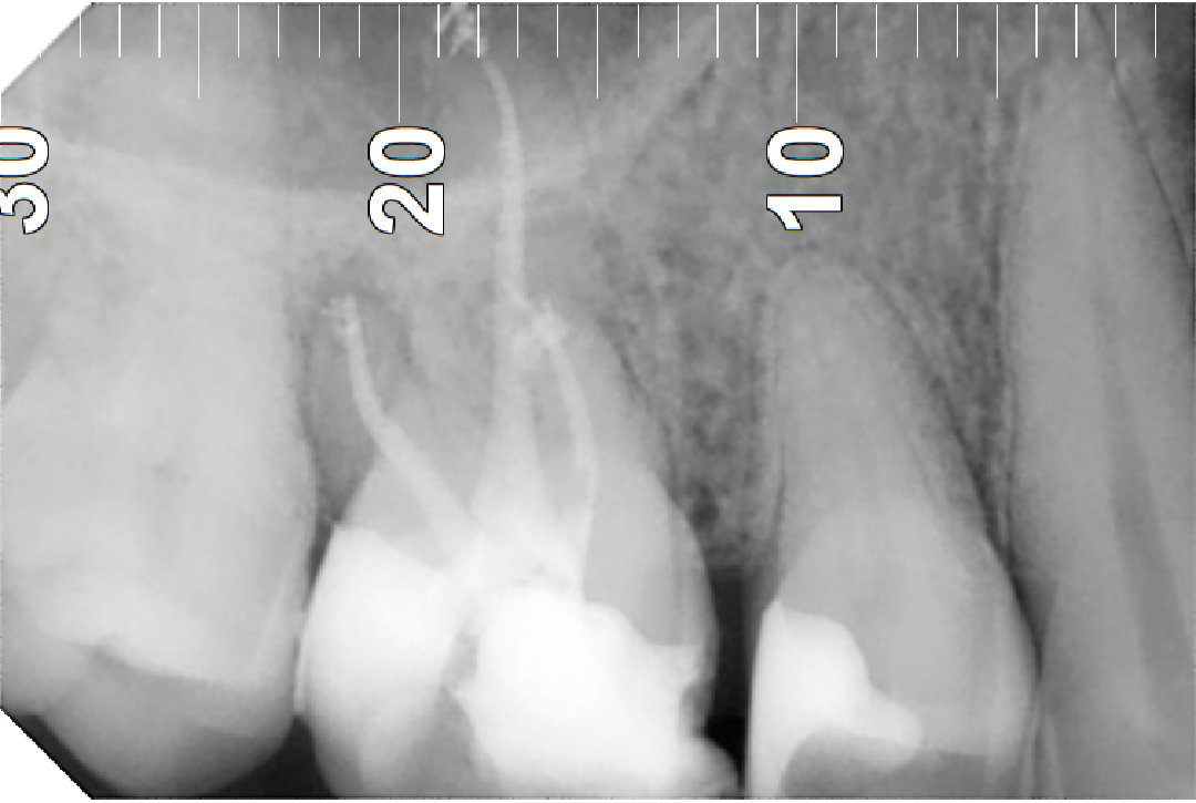
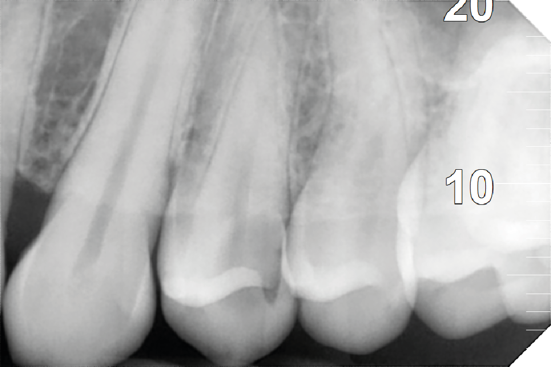
-NADA, puede que no haya dolor ni nada a simple vista pero en un examen radiográfico vemos
el origen del problema
-Cambio de color del diente
-Fracturas dentales extensas
-Sensibilidad con el frío y el calor o dolor agudo persistente que no calma con analgésicos
-NADA, puede que no haya dolor ni nada a simple vista pero en un examen radiográfico vemos
el origen del problema
¿Cómo se realiza una endodoncia?
Se realiza con anestesia local y comienza con un aislamiento absoluto, para impedir la contaminación de saliva, limpiamos la cavidad hasta llegar a la cámara pulpar donde ubicamos los conductos radiculares y donde se inicia el proceso de desinfección y limpieza de todas las bacterias, hasta que los rellenamos con un material biocompatible que produce un sellado hermético en la entrada de cada uno.
Por último, se hace la restauración definitiva, que dependerá de la cantidad de tejido que quede (desde una reconstrucción, una incrustación o una corona, devolviendo la función a la pieza.
Por último, se hace la restauración definitiva, que dependerá de la cantidad de tejido que quede (desde una reconstrucción, una incrustación o una corona, devolviendo la función a la pieza.
¿Qué es una reendodoncia?
Cuando, a pesar de haber realizado la endodoncia, sigue habiendo dolor y la causa es una infección, se vuele a realizar la endodoncia, mejorando la obturación de los canales radiculares. Si, a pesar de estos intentos, vuelve a doler o hay fractura de la estructura dentaria, se opta por la extracción.
3 razones para elegir Hagu
Experiencia
Especialistas con años de experiencia
Tecnología
Contamos con la tecnología más avanzada que existe en el mercado
Calidad
Trato cercano y personalizado que garantiza unos resultados perfectos





